焚题库医学高级职称(正高)

切换考试

耳鼻咽喉科(正高)

切换

  • 会员包含

  • 全部题量 522题
  • 临考密卷 2套
  • 模拟试卷 9套
  • 试题答疑 不限次数
  • 有效期 12个月
  • 更多特权

¥158.00 立即开通

当前位置: 首页 > 医学高级职称(正高) > 试卷列表 > 2026年医学高级职称《耳鼻咽喉科(正高)》冲刺试卷(二)
APP
做题

手机在线做题

2026年医学高级职称《耳鼻咽喉科(正高)》冲刺试卷(二)
  • 年份:2026年
  • 类型:临考冲刺
  • 总分:100.00分
  • 时长:90分钟
  • 题量:39
  • 做题人数:4人
题型介绍
多项选择题(每道题至少有两个正确答案
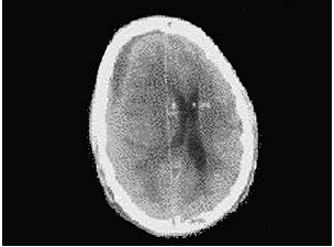
  • 如图,为一右耳反复流脓20余年伴听力下降史的患者的头颅CT片,示有右额颞部硬膜下积脓,右颞部脑水肿,中线结构左移,脑底池变窄、欠清晰,两侧裂及脑沟不清,大脑镰下疝。有关耳源性脑脓肿描述正确的是()。

    A.为脑组织内局限性积脓

    B.多发生于小脑,其次为大脑颞叶

    C.一般为单发,多发性者少见

    D.致病菌以杆菌为主

    E.也有混合感染者

    【正确答案-参考解析】:参加考试可见

共享题干题(根据题干回答下列问题
  • 患者以“晨起无明显诱因突然右耳听力下降5天伴眩晕感”收入院。

    【正确答案-参考解析】:参加考试可见

切换科目
切换考试

已购买考试(0)